嵩县西关骨科医院上肢创伤科带你了解——锁骨骨折!
锁骨位于胸廓的顶部前方,全长位于皮下,是上肢与躯干连接的骨性结构,容易遭受外力而发生骨折。该类骨折多发于儿童,据研究显示锁骨骨折约占全身骨折的5%-10%。
01
应用解剖(Anatomy)
锁骨为“S”形管状骨,内侧段凸向前侧,外侧段凹向后侧,外1/3长轴横切面呈扁平状,中1/3呈管状,内1/3呈菱形。锁骨中1/3是力学薄弱点,受到外力此部分最容易骨折。锁骨外端与肩峰形成肩锁关节,由肩锁韧带、喙锁韧带、三角肌和斜方肌稳定。锁骨内端与胸骨端和胸骨柄的锁骨切迹形成胸锁关节,并由周围关节囊、过节内的锁骨盘、肋锁韧带和锁骨下肌稳定。
▲锁骨解剖结构
02
骨折分型(Classification)
锁骨骨折可简单的分为:锁骨外1/3骨折、锁骨中1/3骨折、锁骨内1/3骨折。Neer和Rockwood将锁骨远端骨折(外1/3骨折)分为多个亚型,而临床上常用的Craig分型在此基础上把锁骨远端骨折进行更为系统的分类。
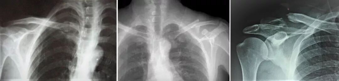
▲锁骨近端、中段、远端骨折
03
诊断(Diagnosis)
1、明确肩部外伤史,摔伤是锁骨骨折的主要原因,直接外力,或间接外力和剪切力,均可导致骨折。新生儿的锁骨骨折的原因常见为产伤,而婴幼儿常因摔伤所致青枝骨折,成人的锁骨骨折则多是高能量损伤。
2、临床表现为锁骨部位肿痛,畸形,特殊体征表现头倾斜向健侧,以一健手托住患侧肘部,触诊时骨折部位压痛,可扪及骨擦音和异常活动。锁骨骨折容易合并气胸、胸部、肩部的骨折以及神经血管损伤等。
3、疑有锁骨骨折时需要拍摄X-ray以明确诊断,X-ray一般包括锁骨的前后位和向头倾斜40°斜位片。如锁骨外1/3骨折,可以加拍双肩应力X-ray以帮助诊断喙锁韧带是否损伤,锁骨内1/3骨折有时需行CT以避免漏诊。婴幼儿的无移位的锁骨骨折或青枝骨折,有时难以明确诊断,可待3-5天再行X-ray,X-ray结果可观察到骨折端有骨痂形成。
04
治疗(Treatment)
1、非手术治疗
“8”字绷带固定方法为锁骨骨折的传统保守治疗方法,适用于无移位骨折和青枝骨折,对于有移位骨折的,先行手法复位再固定。但此方法固定强度不可靠,容易出现骨折再移位,骨折畸形愈合等并发症,长久固定容易引起肩关节活动受限。此外,三角巾悬吊(颈腕带悬吊)对于无移位或青枝骨折也有较明显作用。
2、手术治疗
对于移位明显骨折,伴有神经血管损伤者,或合并其他临床病变,保守治疗不能有效实施者,或开发性骨折者,或对于外形具有较高要求者,或锁骨远端骨折伴有喙锁韧带损伤者,或漂浮肩,合并不稳定的肩胛骨骨折者,或多发性骨折者,或手法复位无法获得良好骨折复位者,均可推荐手术治疗。
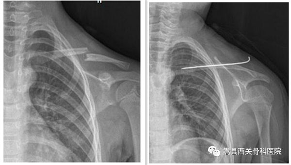
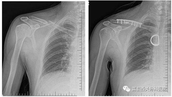
锁骨远端骨折伴有喙锁韧带损伤,稳定性较差,临床上常推荐带钩锁骨钢板,至于喙锁韧带是否修复,仍存在较大争议。
锁骨胸骨端骨折,常移位不大,而有神经血管损伤需手术治疗,内固定物则需要避免损伤重要结构。
锁骨中段骨折,常规手术治疗有髓内固定系统和钢板固定系统。髓内固定包括克氏针、Knowles钉、Hagie钉和弹性髓内钉等,目前临床较常用为弹性髓内钉,虽具有切口小、骨膜剥离少和操作简单等优点,但稳定性、固定强度较钢板差。钢板固定是锁骨中段骨折最常用的治疗方式,放置在前上方,应用了张力带固定原则,固定可靠,可以防止旋转。常用的钢板内固定物为解剖钢板、重建钢板。解剖钢板,与锁骨解剖解剖结构相适应,除了能稳定骨折端,特殊的螺钉孔的设置,在骨折端能产生“微动”刺激,并在周围产生初始骨痂形成,有效促进骨折愈合。重建钢板能在水平轴上方便塑形,以符合锁骨解剖结构,使钢板能紧贴骨面,起张力带固定效应,以对抗弯曲应力和旋转力,达到可靠内固定效果。
我院上肢创伤科部分患者术前术后对比图
05
康复训练(Rehabilitation training)
锁骨骨折术后需要进行一系列的康复训练。
在麻醉消退后可进行患侧手指、手腕握拳、伸指、分指活动,同时可进行缓慢屈伸腕关节、肘关节等活动。卧床休息期间,应该将患侧手臂适当垫高,防止因上臂重量对骨折端产生牵拉,下床活动时可用三角巾悬吊或吊带悬吊保护,具体保守时间视骨折愈合、疼痛、肌力情况而定。
术后1周应进行肩关节活动度练习,在吊带悬吊保护下,可以适当进行钟摆运动,或以健手承托下进行肩关节内外旋活动。肿胀消退,伤口愈合良好,可进行爬墙训练。
术后3-6周,强化活动度练习,术后4周骨折愈合量化,可逐渐加大被动活动角度,在肌力练习中可加载适当负荷,可抗阻内、外旋肌力练习。明确骨折愈合,则可进行大部分过头日常活动,洗头、梳头、穿脱套头衫等。
术后10周,肩关节则需达到全范围活动。而在术后三月,结合骨折愈合情况可开始大强度力量训练,视情况决定可否恢复专项运动或体力劳动。
创伤二科成立于2010年,是一个专业基础雄厚,勇于创新的团队,有医护工作者11人,副主任医师1人,主治医师2人,住院医师2人,主管护师1人,护师2人,具有优秀的专科护理团队,为我院优质护理病区,科室人才梯队结构合理,技术力量雄厚。科内人员曾多次到洛阳正骨医院,郑州市骨科医院进修、学习,有与国内三级医院同等诊疗水平。
主要治疗:
1、创伤骨科:以上肢肩、肘、腕部各种外伤引起的骨折、脱位、韧带及软组织损伤的治疗。
2、小儿骨科:小儿先天及后天发育畸形的矫形手术及保守治疗。小儿创伤骨科的手术及手法整复治疗。
3、肩关节、肘关节、腕关节的慢性退变、劳损所致的各种疼痛。
科室全体医务人员将秉承我院“一切为了病人”的服务理念,以良好的病区环境,精湛的疾病诊疗技术,全面优质的护理,服务每一位患者!
咨询电话:
科室:0379-66324993
许主任:13603963510
